Fotók nyílt forrásból
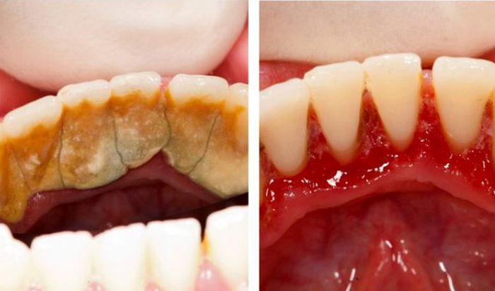
Elsősorban a borkőről szól, amire szükséged van feltétlenül törölje, különben előbb vagy utóbb a parodontitisz vár Önre, és ott, és a komolyabb problémákhoz – egy lépés. Azonban megy a fogorvos nem akarja. És mindez drága!
Szerencsére létezik egy meglehetősen egyszerű népi recept Segít gyorsan és egyszerűen megszabadulni ettől a fogfájástól. És a jövőben ez az eszköz lehetővé teszi, hogy feledkezzen meg a fogkőről örökké, valamint a szájüreg egyéb problémái.
Tehát vegyen negyven gramm dióhéjat, öntsön egy pohár vízzel (200 ml) és főzzük lassan tüzet húsz percig. A kapott levesben (amikor lehűl) áztassa körülbelül tíz percig a fogkefét (jobb több mint kevesebb). Ezután ecsettel, paszta és egyéb nélkül Óvatosan megmosjuk a fogainkat.
fénykép nyílt forrásokból
Az eljárást naponta háromszor kell elvégezni, ha fogászati kezelést végezünk egy kő. Néhány hét múlva csak az emlékek maradnak meg a betegségtől (természetesen minden attól függ, hogy a betegséget elhanyagolták-e). Bármelyikben naponta háromszor tisztítsa meg az ügyet, amíg a fogkő eltűnik teljesen.
Ezután megelőző módba léphet – fogmosást végezhet dióleves naponta egyszer. Ez a gyógyszer sokat segít. Csak a borkő, de általában megtisztítja a szájüreget, gyógyul ínyek, a fogak erősek és egészségesek, egészen mélyig öregség.
De mi a helyzet a fogkrémekkel? Ne feledje, mit tettél mindenkivel Preobrazhensky professzor hasonló fertőzése a Dog’s Heart-ban Mihail Bulgakov – a tűzhelyükön, a tűzhelyen!
Ezután saját magunk készítjük a fogkrémet. Egy kicsiben egy üveget, például mustártól, evőkanálban evőkanál három evőkanállal elalszunk (már nem szükséges, a pasztanak folyamatosan frissnek kell lennie), adjuk hozzá van néhány csepp citromlé és hígítsa fel morzsra hidrogén-peroxid – minden, kész a nagyszerű tészta! Csak nem túlságosan is, ha fogmosást végez, az még mindig szóda – csiszolóanyag, jobb ujjal, csak ujjal, főleg míg az íny masszírozása. És kefe a fogak végén, miután meghúzta diólevesben. És hagyja, hogy a tiéd a fogak mindig egészségesek – fehérek és gyönyörűek!
kövek
