fénykép nyílt forrásokból
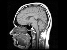
A novoszibirski tudósok kifejlesztettek egy gyógyszert, amely készíti az emberi agy az őssejtek előállításához szükséges a beteg szervek helyreállítása. “A gyógyszer a következőre vonatkozik: regeneráló, és nincs analógja a világon. Idén kezdjük klinikai vizsgálatok, preklinikai vizsgálatok, amelyeket befejeztünk “- mondta a társaság igazgatóságának elnöke és társtulajdonosa, aki kifejlesztette a gyógyszert, Andrei Artamonov. Szerinte a gyógyszer a felnőtt agyát új termelésre készteti őssejtek, amelyek később találnak egy sérült szervet, és visszaállítani. “Gyermekekben az agy aktívan termel szárot sejteket, mert a baba növekszik. És egy felnőtt agya képes előállítani őket, csak ő nem akarja ezt megtenni – neki nincs szükség. A gyógyszer serkenti a saját szár termelését sejtek “- magyarázta Artamonov. Szerinte minden operáció a Az őssejteket az emberi testen kívül termelik, amely bizonyos kockázatot hordoz azzal kapcsolatban, hogy egy módosított, mesterségesen szaporított sejt elindulhat kölcsönhatásba váratlan helyen. A cellák bevihetők, de az mindig kockázatot jelent, mert nem túl világos, hogy hol vannak differenciált. Bár ők a tiéd, szaporodnak az önön kívül testet. A saját őssejtek nem bukhatnak le ott különbséget. Megtalálják a sérült szervet, és elindítják ezt helyreállítani a testet “- tette hozzá Artamonov. Klinikai vizsgálatok a gyógyszer másfél évig fog tartani, számol be az Interfax.
