fénykép nyílt forrásokból
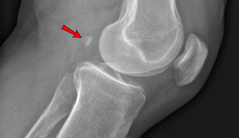
A Fabella egy apró csont a térdben egy évszázaddal ezelőtt veszélyeztetettnek tekintették az evolúció során kezdetleges test. Az utóbbi időben azonban ő lett egyre inkább találkozunk bolygónk lakói között.
Ha 1918-ban a földművelőknek mindössze 11% -ánál volt fabella legalább egyben láb, ma az emberek 39% -ában fordul elő. Ez a szezám alakú a csont az ín vastagságában növekszik a térd mögött és anatómiailag hasonlít mikroszkopikus patella-ra.
Az orvosok még mindig nem tudják meghatározni, hogy miért van ez az alapvetés visszatér az emberi testbe, és miért van rá szükség. első az orvosok szerint a Fabella csak ártalmatlan, felesleges szerv, a szakértők azonban már arra a következtetésre jutottak, hogy a térdben van jelen osteoarthritist okozhat. Még orvosok is voltak aki mindenkinek, akinek fabella van, javasolta annak eltávolítását sebészi úton, hogy az időskorban ne szenvedjen a deformációtól osteoarthritis.
Feltételezzük, hogy a fabella a személy felé fordult majmok, amelyekben fokozta a mechanikai hatékonyságát térdízületek. Azt mondják, az ember fejlődött és elvesztette kezét adott csont. Ennek ellenére az utóbbi évtizedekben még több az emberek elkezdett túlsúlytól szenvedni a zsíros étrend miatt, és rossz életmód. Nyomás a térdízületein fokozódott, és éppen az állítólag „elveszett” kialakulásához vezet szesamoid csont.
fénykép nyílt forrásokból
Ma minden biológiai tankönyv jelzi, hogy az emberi csontváz 206 csontból áll. A jövőben azonban talán ilyen adatok elavultnak tekintik, és ott 206-208 csontról fognak beszélni, mivel sok embernek már van egy vagy mindkét meséje. ezt egy csontot, amelyet sok orvos szerint, függeléknek nevezhetünk csontváz “, mert nem csak haszontalan, hanem szolgálhat egészségügyi problémákat okozhat. Érintkezve a térd porcával, súlyos osteoarthritishez vezet.
Ma azonban a tudósok egyre inkább arra a következtetésre jutnak, hogy az emberi test semmi felesleges, és ugyanaz a függelék vagy A mandulákat semmilyen esetben sem szabad eltávolítani, kivéve ha feltétlenül szükséges. Lehetséges, hogy egy idő és valódi cél elmúlik A fabellát, mint a függeléket, meg kell érteni, valamint meg kell magyarázni ennek okait A térd „extra csontja” visszatér az emberhez további fejlődése …
Idő evolúció
