Fotók nyitva források
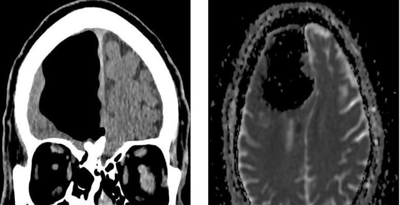
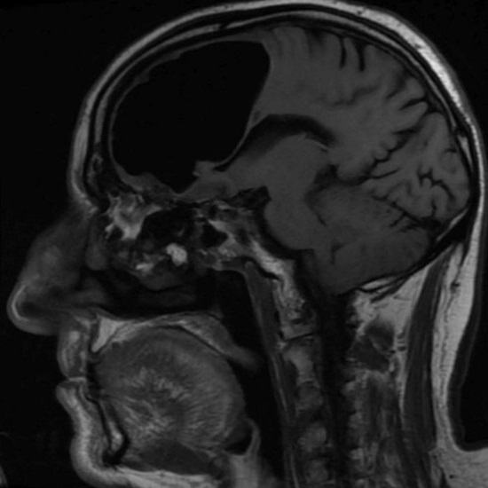
Észak-Írország orvosai meglepődtek, amikor megvizsgálták őket nemrégiben egy 84 éves beteg, aki rossz közérzettel jött hozzájuk. Miután elvégezték az ember fejének mágneses rezonancia leképezését, az orvosok váratlanul rájött, hogy hiányzik a jobb frontális része az agy lebenye. Ehelyett a nyugdíjas koponya levegő volt zsebében. Aztán az orvosok megállapították, hogy a tényleges agyrészlet a beteg sehol sem tűnt el, hanem keverte ezt a kóros irányt az üreg.
fénykép nyílt forrásokból
A kórházi személyzet azt javasolta, hogy a beteg nehezen viselkedjen a légzsák eltávolításának művelete, de a férfi megtagadta műtétből. A nyugdíjas szerint ő Korában általában nagyon jó érzés, és nem szándékozik kockáztatni életét azzal, hogy a szikével fekszik. K szerencsére hamarosan, és a jelenben is eltűnt az ír jólét abban a pillanatban, hogy nem tapasztal semmilyen kellemetlenséget, ami ezzel összefügg rendellenes egészségi állapotuk.
Meg kell jegyezni, hogy rendellenességek az agyban, sőt, még az is ilyen megtalálható a világon, ilyen eltérésekkel küzdő emberekben normális életet éljen anélkül, hogy bármiféle kényelemmel érezné magát. Még ők is képes agy nélkül gondolkodni (olvassa el a weboldalunkat kiterjedt cikk a témáról), miért vonhatjuk le a következtetéseket: sokat, mit kap egy ember, mondjuk, egyedi képességei, emléke, végül a fizikai testén kívül van, ami bizonyítja például a keleti bölcsesség és az ezoterikus tudás. Ezért az eset ezt csak az ír ír megerősíti, bár meglepő materialista orvos, véletlenszerűen távol …
élet
