A COVID-19 számos súlyos tünete közül a furcsa neurológiai hatásokat, amelyeket sok beteg tapasztal, a leginkább feltáratlanoknak tartanak.
A hirtelen szag- és ízvesztés volt az első szokatlan tünet, amelyet a COVID-19-ben szenvedő betegek jelentettek, de a stroke, görcsrohamok és agyi ödéma (ún. Encephalitis) eseteit dokumentálták.
A COVID-19 diagnosztizált betegek egy része zavartságot, delíriumot, szédülést és koncentrációs nehézségeket tapasztal a jelentések és kutatások szerint.
Az orvosok több hónapon keresztül fáradhatatlanul próbálták megérteni ezt a betegséget és számos, az agyat érintő megnyilvánulását.
Összefoglalva a gyorsan felhalmozódó adatokat, két neurológus áttekintette azokat a vizsgálatokat, amelyek azt vizsgálták, hogy a COVID-19 miként bontja meg a normális agy működésének mintáit, amelyek EEG-vel mérhetők.
Az EEG, az elektroencefalogram rövidítése, az ember agyának különböző részeiben rögzíti az elektromos aktivitást, általában a fejbőrre helyezett elektródák segítségével.
Áttekintésük során a kutatók 84 tanulmányból közel 620 COVID-fertőzött beteg adatait gyűjtötték össze, szakértői véleményezés alatt álló folyóiratokban és sajtó előtti szervereken, ahol az EEG hullámformájú adatok elemzésre rendelkezésre álltak.
Az EEG eredmények elemzése jelezheti a COVID-hez társuló encephalopathia valamilyen formáját ezeknél a betegeknél – az agyműködés romlásának vagy károsodásának jeleit.
A vizsgálatokban részt vevő betegek körülbelül kétharmada férfi volt, a medián életkor 61 év volt.
420 beteg között, akiknél feljegyezték az EEG alapját, a leggyakoribb ok a mentális állapot megváltozása volt: a vizsgált betegek mintegy kétharmada delíriumot, kómát vagy zavartságot tapasztalt.
A betegek körülbelül 30% -ánál előfordult olyan rohamszerű roham, amely orvosát EEG megrendelésére késztette, míg néhány betegnél beszédproblémák voltak. Másoknál hirtelen szívmegállás következett be, ami megzavarhatja az agy véráramlását.
A betegek EEG-vizsgálata az agyi aktivitás rendellenességeinek spektrumát mutatta, beleértve néhány ritmikus mintázatot és epilepsziás aktivitást. A leggyakoribb rendellenesség a diffúz lassulás volt, vagyis az agyi hullámok általános lelassulása, amely az agytevékenység általános diszfunkciójára utal.
A COVID esetében ez a rendellenesség széles körű gyulladás következménye lehet, mivel a test erősíti immunválaszát, vagy esetleg csökken az agy véráramlása, ha a szív és a tüdő gyenge.
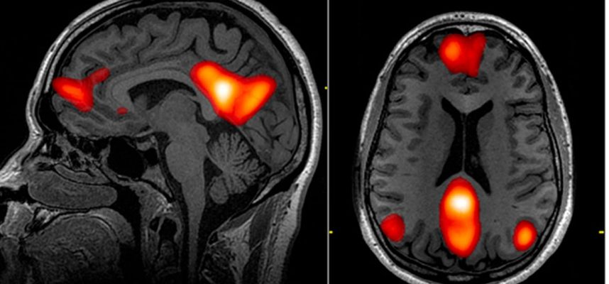
A lokalizált hatásokat tekintve az összes talált rendellenesség egyharmadát a frontális lebenyben találták, az agy azon részében, amely végrehajtó gondolkodási feladatokat lát el, például érvelést és döntéshozatalt. A homloklebeny segít továbbá érzelmeink szabályozásában, viselkedésünk irányításában, és részt vesz a tanulásban és a figyelemben.
“Ezek az adatok azt mondják, hogy a betegek szélesebb körében kell kipróbálni az EEG-t, valamint más típusú agyi képalkotást, például MRI-t vagy CT-t, amelyek lehetővé teszik, hogy közelebbről megvizsgáljuk a homloklebenyt” – mondta Zulfi Hanif, a neurológus és a tanulmány társszerzője. a houloni Baylor Medical College-tól.
Idővel az EEG segíthet megerősíteni a COVID-19 diagnózisát, vagy utalhat a lehetséges szövődményekre. Ez segíthet az orvosoknak a COVID-19 hosszú távú szövődményeinek nyomon követésében és a beteg agyi működésére gyakorolt esetleges hosszú távú hatások felderítésében.
Sajnos az eredmények jelenleg nem utalnak arra, hogy ezek az agyhullám-zavarok milyen ritkák vagy gyakoriak a szélesebb populációban, mivel az elemzésbe csak azok a COVID-19-es betegek kerültek be, akiknek EEG-tesztjük volt.
De egyre több bizonyítékot ad arra, hogy az új koronavírus komolyan befolyásolhatja neurológiai egészségünket.
“Több kutatásra van szükség, de ezek az eredmények azt mutatják, hogy ezekre a területekre kell összpontosítanunk, ahogy haladunk előre” – mondta Hanif.
“A frontális lebenyt érintő EEG-rendellenességek a COVID-19 encephalopathiában gyakoriaknak tűnnek, és potenciális biomarkerként javasolták őket folyamatos felvétel során” – írják a szerzők cikkükben.
A tanulmány a Seizure: European Journal of Epilepsy című folyóiratban jelent meg.
