fénykép nyílt forrásokból
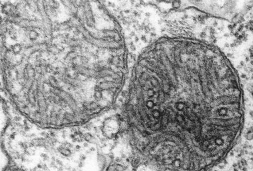
Az élő organizmusok öregedési folyamatának és módszereinek tanulmányozása annak kezelése a modern egyik fő iránya orvosi kutatás. Végül is csak ezen a területen felelnek a válaszok olyan fontos kérdésekre, mint a morbiditás csökkentése és a növekedés emberi élettartam. Úgy tűnik, hogy a tudósok még mindig sikerült egy lépéssel közelebb kerülni ennek hihetetlenül megoldásához nehéz feladat. A Dél-Walesi Egyetem közös projektje (UNSW) a Sydney-ben és a Harvard Medical School ezt már bebizonyította Az öregedési folyamat megfordítása a laboratóriumi egerek testében lehetséges. A tudósok remélik, hogy módszertanuk klinikai vizsgálatát megkezdi emberek már 2014-ben. Úgy tűnik, hogy az orvostudomány jövője már nem az hegyek. A tudósoknak sikerült megfordítani az egerek öregedési folyamatát a mitokondriumok és a sejtek közötti kapcsolatok helyreállításával a mag. A mitokondrium egyfajta akkumulátorcella, amely a kulcshoz szükséges kémiai energiaforrás biológiai funkciók. Mikor van a kapcsolat a mitokondriumok és a mag között a sejtek eltörnek, az öregedési folyamat felgyorsul. kutatás David Sinclair, az UNSW professzor vezetése alatt álló csapat, megállapította, hogy ennek a fontos intracelluláris kapcsolatnak a helyreállítása a folyamat az öregedés nem csak lelassíthatja, hanem visszafordíthatja is. ezt a technika lehetővé teszi a rák, a második cukorbetegség kezelését típusú, izom atrófiás, gyulladásos és mitokondriális betegségek, ideértve a krónikus fáradtság szindrómát, májelégtelenség, számos szindróma miatt gének mutációja és így tovább. Ezt a tudományos áttörést megelőzték a csapat korábbi tanulmánya, amelynek során megállapította, hogy a rendszeres testmozgás és bizonyos diéták, például egy anyagot tartalmazó ételek fogyasztása resveratrol (vörösborban és dióban található), engedje meg lelassítja az intracelluláris kötések lebontását, és ennek eredményeként csökkenti a test öregedésének mértéke.
Fotó nyílt forrásból Visszaállíthatja az intracelluláris kommunikációt A kemény koenzim segít nikotinamid adenin-dinukleotid (NAD), amely minden élőben megtalálható sejtekben. Növeli a koenzim koncentrációját a sejtben a speciális NAD-termelő bevezetésén keresztül kapcsolatok révén jelentős helyreállítási gyorsulást lehet elérni létfontosságú kapcsolatok a mag és a mitokondriumok között. “Nekünk volt valódi sokk, amikor megláttuk, hogy mindez gyorsan történik, – osztozik az orvos és a projekt társszerzője az újságírókkal Nigel Turner – Ha növeli a NAD szintet felnőttkorban egereket, majd egy héten az izmai teljesen megkülönböztethetetlenek az alábbiaktól a fiatalabb és erősebb rokonok izmai. “Ennek eredményeként a tudósok számos kísérletet megtanultak egy héten belül fiatalítsuk laboratóriumi egereket, életkora két éves hat hónap. Más szavakkal, ennek a felfedezésnek köszönhetően bármilyen Egy 60 éves személy megújulhat egy 20 éves állapotáig. A folyamat természetesen még nem ideális, és még nem vizsgálták meg teljes körűen, de az eredményeket, amelyeket a hagyományos egerekkel példaként értünk el nagyon lenyűgöző. A tudósok is megpróbálták alkalmazni egy módszer egészséges és fiatal egerekhez. Kiderült, hogy A NAD befolyása alatt álló “fiatalok” rendkívül energikusak hihetetlenül aktív. Lehet, hogy a technika megteszi nemcsak az idős és beteg emberekre vonatkozik, hanem azok számára is ideális, akiknek élete szorosan kapcsolódik a nehéz helyzethez fizikai munka. “A legfontosabb felfedezésünk az volt, hogy A HIF-1 elem számos forma fejlesztéséért felelős rák, szintén elkezdi fejlődni a a test az öregedés során ”- mondja az egyik tudós. – Most már biztosan tudjuk, hogy a rák fiziológiája bizonyos értelemben hasonló az öregedés fiziológiájához. Ez magyarázza az egyik a rák legnagyobb kockázati tényezői Életkor. “Jelenleg a kutatók gondosan figyelik olyan kísérleti egerek számára, amelyek megújulási folyamaton mentek keresztül. Végül is nagyon fontos, hogy a technika ne eredményezzen hibákat, és ne súlyos mellékhatásokat mutatott. Ha egerekkel minden benne lesz A tudósok rendelésük szerint klinikai vizsgálatokat indítanak majd emberek már 2014 végén. A gizmag.com alapján
élet
