fénykép nyílt forrásokból
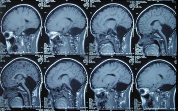
A kínai Shandong tartományból származó lány 24 éves volt, nem tudva, hogy születése óta hiányzik az agy jelentős része, és ez a kisagy.
Ilyen felfedezésre csak akkor került sor, amikor meglátogatta orvosok panaszkodnak hányingerre és szédülésre. Mondta orvosok, akiknek problémái vannak az élettel járás. Anyja arról számolt be, hogy lánya csak hétkor járhat el éves, és a beszélgetés hat éves korban kezdődött.
Normál agyi tomográfia, kisagy piros színben
fénykép nyílt forrásokból
A tomográfia után az orvosok azonnal azonosították a probléma forrását – annak okait kisagy nem volt jelen. A hely, ahol üresnek kell lennie. ezt az agy területét cerebrospinális folyadékkal töltötték meg, biztosítja védelem a betegség ellen. A kisagy kb. 10% -át veszi igénybe az agy teljes térfogata, de az idegsejtek 50% -át tartalmazza.
Kínai nő agyi képalkotása kisagy nélkül
fénykép nyílt forrásokból
Egy nő csatlakozik egy kilenc emberből álló “elit” klubhoz, akik ezen tekintély nélkül éltek. Ennek részletes leírása azonban nincs betegség, mivel minden ember fiatal korban meghalt és a problémát csak boncoláskor fedezték fel.
A kisagyi problémák súlyos mentális állapothoz vezethetnek elmaradás, mozgási rendellenességek, epilepszia vagy potenciálisan halálos folyadékfelhalmozás az agyban. Azonban a ennek a nőnek a kisagy hiánya csak enyhe hiányhoz vezetett mozgás és mérsékelt beszédproblémák, például kissé elmosódott kiejtése.
Az orvosok ezeket a hatásokat “kevesebbnek tartják, mint lehet elvárják “, és azt mondják, hogy az eset aláhúzza a csodálatos dolgot az agy plaszticitása.
élet
