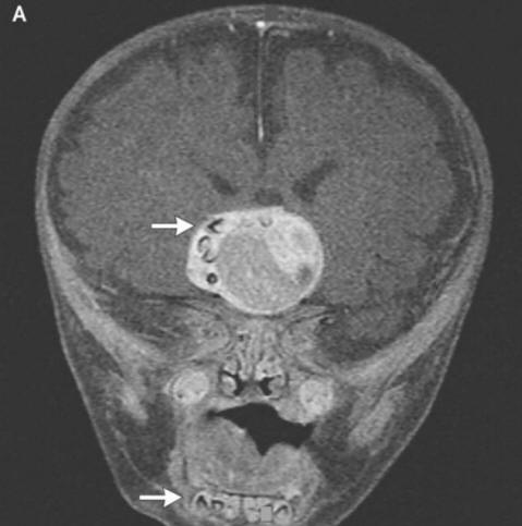
Az amerikai Maryland állambeli sebészeknek kellett költeni egyet a gyakorlatban a legnehezebb műveleteket. Négy hónapos szülők a fiúk megszólalták a riasztást, majd az orvosokhoz mentek észrevette, hogy gyermeke feje túl gyorsan növekszik. orvosok vizsgálatot végzett és megállapította, hogy egy foga nőtt fel a beteg agyában.
fénykép nyílt forrásból, ahogyan a sebészek elmondták a rémült szülőknek és onkológusok, ennek oka egy ritka veleszületett képződmény volt daganatok – craniopharyngiomas – írja a New England Journal of Medicine. Ez a daganat az esetek túlnyomó többségében jóindulatúak azonban egyre nagyobb lehet egy golyó – golf és okozza a szaglás, a hallás és látás romlását, és – szintén növeli az intrakraniális nyomást. A kutatók mindig gyanította, hogy ezek a daganatok már gyermekkorban megjelennek a fogakkal azonos sejtekből kialakult terhesség, mivel nagy kalciumfelhalmozódást észleltek, de egy valódi formájú fogat, amelyet ebben az esetben nem találnak elszámolni.
A sebészek sikeresen eltávolították a fényképet a nyílt forrásokból mondták, hogy a fiúnak jól van. Azonban egy fog, hogy nőtt fel az agyalapi mirigyében, de mégis megrontotta az agyat, megfelelő hormontermelés – a betegnek ezeket előbb be kell szednie az élet vége. Ez az eset jogosan büszke lehet a helyre az onkológusok legfurcsabb műveleteinek listája. Időközben iráni fiatalember, akinek kellett kezelje szőrös szemét. Szinte furcsa tumor jelent meg a szemében közvetlenül a születés után, de 19 éves korukra 2006 – ban jelentősen megnőtt méretét (legfeljebb 0,6 cm), és megakadályozta ezen felül a szemhéjak bezárását merev haj kezdett növekedni. Az orvosok eltávolították a tumort, és azt találták ez egy limbális dermoid – rendkívül ritka, általában jóindulatú oktatás. Az orvosok szerint ebben az esetben ha a fiatalember továbbra is gyógyszeresen húzza, akkor duzzanatot jelent nemcsak a hajat növeli, hanem izzadni is kezd: az idő múlásával daganatokban a megfelelő mirigyek gyakran megjelennek.
idő
