fénykép nyílt forrásokból
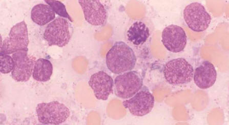
A Cseh Köztársaság Hematológiai és Vérátömlesztési Intézet szakemberei gyógyított egy 27 éves akut limfoblasztikus leukémiás beteget, akinek a túlélés esélye nulla volt.
Röviddel ez előtt a srác, ahogyan elkerülhetetlenül történik a és az ilyen típusú vérrákos betegek visszaesnek. Miután a test nem reagált minden gyógyszerre, és kemoterápia. A betegnek néhány hétig kellett élnie. És akkor Az orvosok úgy döntöttek, hogy kipróbálnak egy teljesen új típusú gyógyszert a Cseh Köztársaságban. Hirtelen elősegítette a beteg állapotának stabilizálását – és át is az idővizsgálatok mindenki számára váratlanul megmutatták, hogy nincs rák! orvos Orvosi tudományok Cyril Shalek a Hematológiai Intézetből és CR vérátömlesztés azt mondta újságíróknak, hogy ez a gyógyszer a monoklonális antitestek új családjába tartozik. Ennek egyik vége molekulák kötődnek a leukémiás sejtekhez, a második az egészséges sejtekhez. Sőt, minden molekula az immun egyetlen hatalmas részeként működik rendszerek, amelyek természetes funkciója idegen és betegek megölése sejtekben. Az eszköz egy speciális nagy ampullában van. beteg állandóan magával hordozza, össze van kötve az ő vénájával. keresztül egyenletesen elosztott gyógyszert egy speciális pumpával beinjektálják a vérbe, és elkezdi viselkedni “A jelenben akkor mondhatjuk, hogy úgy tűnik, forradalmár találtunk a hematológiai betegségek kezelésének megközelítése “- biztos az orvos Šálek.
idő
