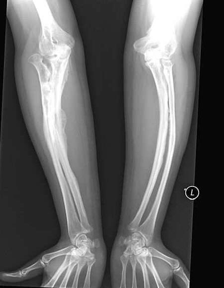
Egy nőtt, fokozottan törékeny csontokkal, boldogan kimentek férjhez menni Anastasia Marukova, akit gyermekként diagnosztizáltak “a tökéletlen osteogenesis” sok bajt túlélte. Ő az csonttörött 40-szer. Apa nem tudta elviselni egy súlyos beteg életét lánya, és korán elhagyta őket az anyjával. De akkor Anastasia szerencséje volt férj – egy szeretett ember mindenhol kíséri, mert gondatlan a mozgalom új fordulópontot ígér neki.
Fotók nyílt forrásból
0
Like this post? Please share to your friends:
Related articles
fénykép Nyílt forrásokból ismert a híres fizikus, Nikola Tesla neve nem csak a tudomány
fénykép nyílt forrásokból Mit gondol, hogyan néz ki a feltaláló? Felnőtt ember felsőfokú vagy
fénykép nyílt forrásokból Jelentették a nagyon magas emberek létezését a Földön ősi legendák és
fénykép nyílt forrásokból Hogy az a személy nem fogyasztott táplálékként – mindig van újrahasznosított
fénykép nyílt forrásokból Képes olvasni bárki gondolatait, és kitalálni a sajátját titkos vágyak. Diadalmas
fénykép nyílt forrásokból A parapszichológusok és a tudósok egymástól teljesen ellentétes pontokkal rendelkeznek kilátás
